中文名稱: 兔抗SLC22A3多克隆抗體
別 名: EMT; EMTH; OCT3
相關類別: 一抗
儲 存: 冷凍(-20℃)
宿 主: Rabbit
抗 原: SLC22A3
反應種屬: Human, Mouse, Rat
標 記 物: Unconjugate
克隆類型: rabbit polyclonal
技術規格
|
Background: |
Polyspecific organic cation transporters in the liver, kidney, intestine, and other organs are critical for elimination of many endogenous small organic cations as well as a wide array of drugs and environmental toxins. This gene is one of three similar cation transporter genes located in a cluster on chromosome 6. The encoded protein contains twelve putative transmembrane domains and is a plasma integral membrane protein. |
|
Applications: |
ELISA, WB, IHC |
|
Name of antibody: |
SLC22A3 |
|
Immunogen: |
Synthetic peptide of human SLC22A3 |
|
Full name: |
Solute carrier family 22 (extraneuronal monoamine transporter), member 3 |
|
Synonyms: |
EMT; EMTH; OCT3 |
|
SwissProt: |
O75751 |
|
ELISA Recommended dilution: |
2000-5000 |
|
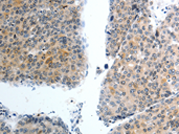
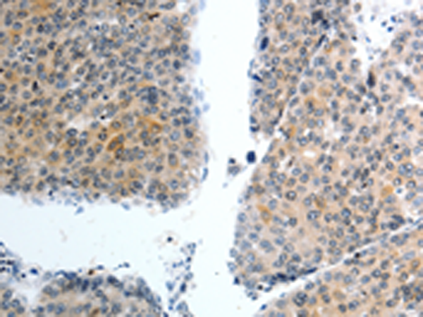
IHC positive control: |
Human liver cancer and Human lung cancer |
|
IHC Recommend dilution: |
25-100 |
|
WB Predicted band size: |
61 kDa |
|
WB Positive control: |
Human liver cancer tissue |
|
WB Recommended dilution: |
500-2000 |

購物車
幫助
021-54845833/15800441009
