中文名稱: 兔抗RCOR3多克隆抗體
英文名稱: Anti-RCOR3 rabbit polyclonal antibody
別 名: REST corepressor 3
抗 原: RCOR3
儲 存: 冷凍(-20℃)
宿 主: Rabbit
反應種屬: Human, Mouse
相關類別: 一抗
標 記 物: Unconjugate
克隆類型: rabbit polyclonal
Background:
May act as a component of a corepressor complex that represses transcription.
Applications:
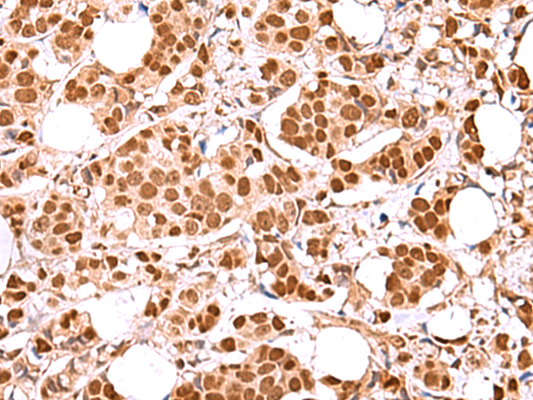
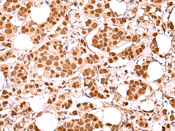
ELISA, IHC
Name of antibody:
RCOR3
Immunogen:
Fusion protein of human RCOR3
Full name:
REST corepressor 3
SwissProt:
Q9P2K3
ELISA Recommended dilution:
5000-10000
IHC positive control:
Human lung cancer and Human esophagus cancer
IHC Recommend dilution:
50-300
技術規格


購物車
幫助
021-54845833/15800441009
