中文名稱: 兔抗SERTAD1多克隆抗體
英文名稱: Anti-SERTAD1 rabbit polyclonal antibody
別 名: SEI1; TRIP-Br1
儲 存: 冷凍(-20℃)
抗 原: SERTAD1
宿 主: Rabbit
相關類別: 一抗
反應種屬: Human, Mouse
標 記 物: Unconjugate
克隆類型: rabbit polyclonal
技術規格
|
ackground: |
Acts at E2F-responsive promoters as coregulator to integrate signals provided by PHD- and/or bromodomain-containing transcription factors. Stimulates E2F1/TFDP1 transcriptional activity. Renders the activity of cyclin D1/CDK4 resistant to the inhibitory effects of CDKN2A/p16INK4A. |
|
Applications: |
ELISA, IHC |
|
Name of antibody: |
SERTAD1 |
|
Immunogen: |
Full length fusion protein |
|
Full name: |
SERTA domain containing 1 |
|
Synonyms: |
SEI1; TRIP-Br1 |
|
SwissProt: |
Q9UHV2 |
|
ELISA Recommended dilution: |
5000-10000 |
|
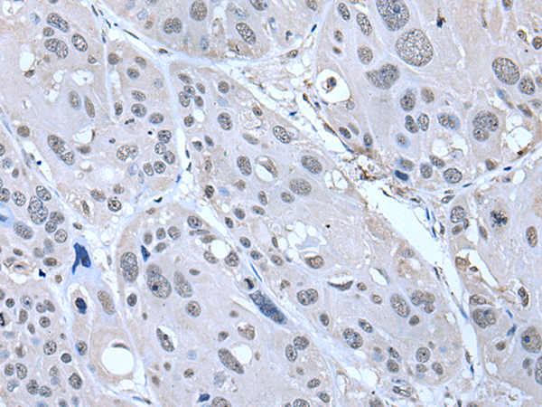
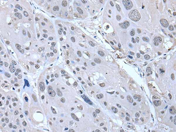
IHC positive control: |
Human colorectal cancer and human cervical cancer |
|
IHC Recommend dilution: |
25-100 |

購物車
幫助
021-54845833/15800441009
