|
Background: |
The protein encoded by this gene is a member of the AAA protein family (ATPases associated with diverse cellular activities), and is the homolog of the yeast Vps4 protein. In humans, two paralogs of the yeast protein have been identified. The former share a high degree of aa sequence similarity with each other, and also with yeast Vps4 and mouse Skd1 proteins. Mouse Skd1 (suppressor of K+ transport defect 1) has been shown to be a yeast Vps4 ortholog. Functional studies indicate that both human paralogs associate with the endosomal compartments, and are involved in intracellular protein trafficking, similar to Vps4 protein in yeast. The gene encoding this paralog has been mapped to chromosome 18; the gene for the other resides on chromosome 16. |
|
Applications: |
ELISA, IHC |
|
Name of antibody: |
VPS4B |
|
Immunogen: |
Synthetic peptide of human VPS4B |
|
Full name: |
vacuolar protein sorting 4 homolog B |
|
Synonyms: |
MIG1; SKD1; SKD1B; VPS4-2 |
|
SwissProt: |
O75351 |
|
ELISA Recommended dilution: |
1000-2000 |
|
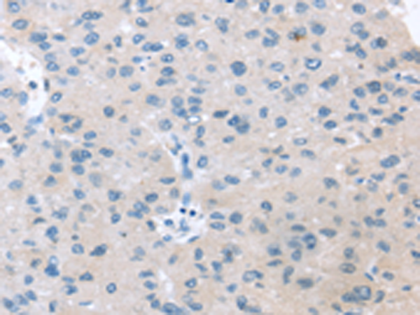
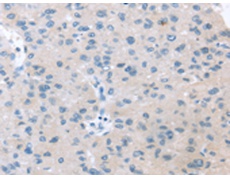
IHC positive control: |
Human liver cancer |
|
IHC Recommend dilution: |
10-50 |
購物車
幫助
021-54845833/15800441009
