中文名稱: 兔抗SETMAR多克隆抗體
英文名稱: Anti-SETMAR rabbit polyclonal antibody
別 名: SET domain and mariner transposase fusion gene; Mar1; METNASE
相關類別: 一抗
儲 存: 冷凍(-20℃)
宿 主: Rabbit
抗 原: SETMAR
反應種屬: Human, Mouse
標 記 物: Unconjugate
克隆類型: rabbit polyclonal
技術規格
|
Background: |
This gene encodes a fusion protein that contains an N-terminal histone-lysine N-methyltransferase domain and a C-terminal mariner transposase domain. The encoded protein binds DNA and functions in DNA repair activities including non-homologous end joining and double strand break repair. The SET domain portion of this protein specifically methylates histone H3 lysines 4 and 36. This gene exists as a fusion gene only in anthropoid primates, other organisms lack mariner transposase domain. Alternate splicing results in multiple transcript variants. |
|
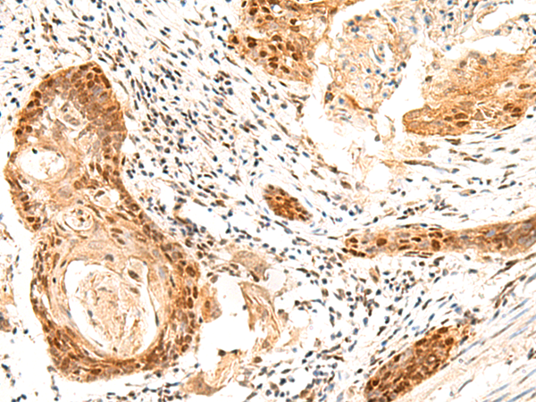
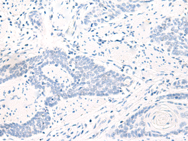
Applications: |
ELISA, IHC |
|
Name of antibody: |
SETMAR |
|
Immunogen: |
Fusion protein of human SETMAR |
|
Full name: |
SET domain and mariner transposase fusion gene |
|
Synonyms: |
Mar1; METNASE |
|
SwissProt: |
Q53H47 |
|
ELISA Recommended dilution: |
5000-10000 |
|
IHC positive control: |
Human esophagus cancer |
|
IHC Recommend dilution: |
50-300 |

購物車
幫助
021-54845833/15800441009
