|
Background: |
The protein encoded by this gene is involved in diverse aspects of RNA metabolism, including binding and protecting poly(U) termini of nascent RNA polymerase III transcripts from exonuclease digestion, processing 5' and 3' ends of pre-tRNA precursors, acting as an RNA chaperone, and binding viral RNAs associated with hepatitis C virus. Autoantibodies reacting with this protein are found in the sera of patients with Sjogren syndrome and systemic lupus erythematosus. |
|
Applications: |
ELISA, WB, IHC |
|
Name of antibody: |
SSB |
|
Immunogen: |
Synthetic peptide of human SSB |
|
Full name: |
Sjogren syndrome antigen B (autoantigen La) |
|
Synonyms: |
La; LARP3; La/SSB |
|
SwissProt: |
P05455 |
|
ELISA Recommended dilution: |
2000-5000 |
|
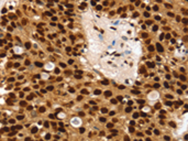
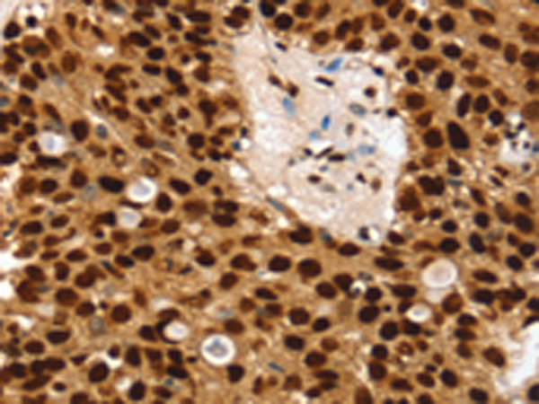
IHC positive control: |
Human breast cancer and Human ovarian cancer |
|
IHC Recommend dilution: |
25-100 |
|
WB Predicted band size: |
47 kDa |
|
WB Positive control: |
K562, 231, Raji and hela cells |
|
WB Recommended dilution: |
500-2000 |

購物車
幫助
021-54845833/15800441009
