中文名稱: 兔抗ANGPT4多克隆抗體
英文名稱: Anti-ANGPT4 rabbit polyclonal antibody
別 名: AGP4; ANG4; ANG-3
相關類別: 一抗
儲 存: 冷凍(-20℃)
宿 主: Rabbit
反應種屬: Human
標 記 物: Unconjugate
克隆類型: rabbit polyclonal
技術規格
|
Background: |
Angiopoietins are proteins with important roles in vascular development and angiogenesis. All angiopoietins bind with similar affinity to an endothelial cell-specific tyrosine-protein kinase receptor. The mechanism by which they contribute to angiogenesis is thought to involve regulation of endothelial cell interactions with supporting perivascular cells. The protein encoded by this gene functions as an agonist and is an angiopoietin. |
|
Applications: |
ELISA, WB, IHC |
|
Name of antibody: |
ANGPT4 |
|
Immunogen: |
Synthetic peptide of human ANGPT4 |
|
Full name: |
angiopoietin 4 |
|
Synonyms: |
AGP4; ANG4; ANG-3 |
|
SwissProt: |
Q9Y264 |
|
ELISA Recommended dilution: |
2000-10000 |
|
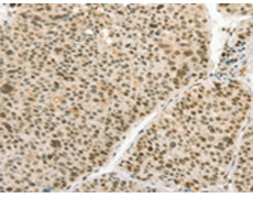
IHC positive control: |
Human liver cancer and Human colon cancer |
|
IHC Recommend dilution: |
100-300 |
|
WB Predicted band size: |
57 kDa |
|
WB Positive control: |
Human right lung and left lung cancer tissue |
|
WB Recommended dilution: |
200-1000 |
購物車
幫助
021-54845833/15800441009
