中文名稱: 兔抗NTN1多克隆抗體
英文名稱: Anti-NTN1 rabbit polyclonal antibody
別 名: NTN1L
抗 原: NTN1
相關類別: 一抗
儲 存: 冷凍(-20℃)
宿 主: Rabbit
反應種屬: Human, Mouse, Rat
標 記 物: Unconjugate
克隆類型: Unconjugate
技術規格
|
Background: |
Netrin is included in a family of laminin-related secreted proteins. The function of this gene has not yet been defined; however, netrin is thought to be involved in axon guidance and cell migration during development. Mutations and loss of expression of netrin suggest that variation in netrin may be involved in cancer development. |
|
Applications: |
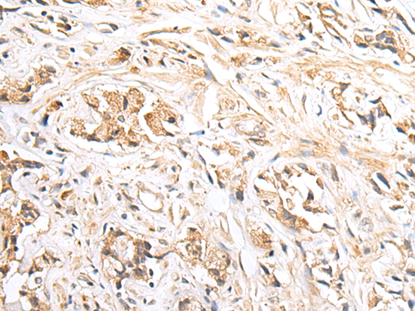
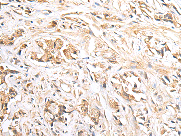
ELISA, IHC |
|
Name of antibody: |
NTN1 |
|
Immunogen: |
Synthetic peptide of human NTN1 |
|
Full name: |
netrin 1 |
|
Synonyms: |
NTN1L |
|
SwissProt: |
O95631 |
|
ELISA Recommended dilution: |
5000-10000 |
|
IHC positive control: |
Human tonsil |
|
IHC Recommend dilution: |
25-100 |

購物車
幫助
021-54845833/15800441009
