中文名稱:兔抗SH2D1B多克隆抗體
英文名稱: Anti-SH2D1B rabbit polyclonal antibody
別 名: EAT2
相關類別: 一抗
儲 存: 冷凍(-20℃) 避光
宿 主: Rabbit
抗 原: SH2D1B
反應種屬: Human
標記物:Unconjugate
克隆類型: Unconjugate
技術規格
|
Background: |
Plays a role in controlling signal transduction through at least four receptors, CD84, SLAMF1, LY9 and CD244, expressed on the surface of professional antigen-presenting cells. |
|
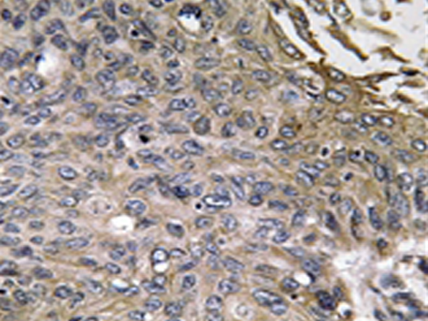
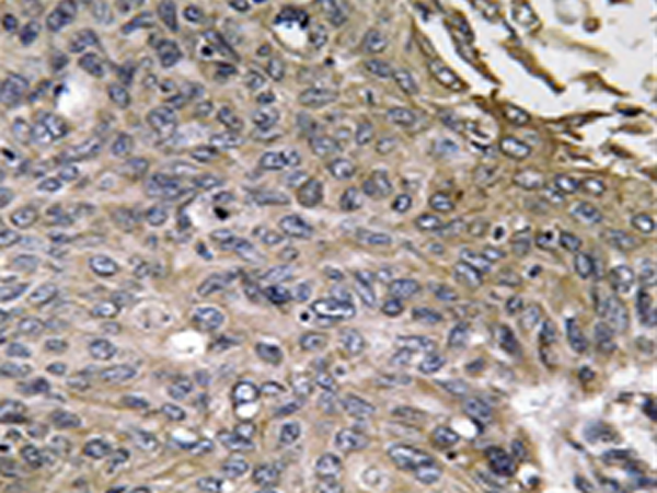
Applications: |
IHC |
|
Name of antibody: |
SH2D1B |
|
Immunogen: |
Synthesized peptide derived from internal of human SH2D1B. |
|
Full name: |
SH2 domain containing 1B |
|
Synonyms: |
EAT2 |
|
SwissProt: |
O14796 |
|
IHC positive control: |
Human lung carcinoma tissue |
|
IHC Recommend dilution: |
50-100 |
購物車
幫助
021-54845833/15800441009
