中文名稱 : 兔抗NUMA1多克隆抗體
英文名稱 : Anti-NUMA1 rabbit polyclonal antibody
別 名 : NUMA
儲 存 : 冷凍(-20℃) 避光
抗 原 : NUMA1
宿 主 : Rabbit
反應種屬 : Human
相關類別 : 一抗
標 記 物 : Unconjugate
克隆類型 : Unconjugate
技術規格
|
Background: |
This gene encodes a large protein that forms a structural component of the nuclear matrix. The encoded protein interacts with microtubules and plays a role in the formation and organization of the mitotic spindle during cell division. Chromosomal translocation of this gene with the RARA (retinoic acid receptor, alpha) gene on chromosome 17 have been detected in patients with acute promyelocytic leukemia. Alternative splicing results in multiple transcript variants. |
|
Applications: |
WB, IHC |
|
Name of antibody: |
NUMA1 |
|
Immunogen: |
Synthesized peptide derived from internal of human NUMA1. |
|
Full name: |
nuclear mitotic apparatus protein 1 |
|
Synonyms: |
NUMA |
|
SwissProt: |
Q14980 |
|
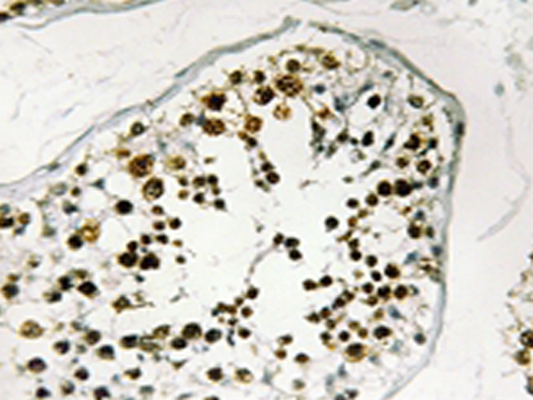
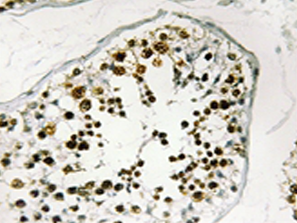
IHC positive control: |
Human testis tissue |
|
IHC Recommend dilution: |
50-100 |
|
WB Predicted band size: |
238 kDa |
|
WB Positive control: |
A549 cells lysate |
|
WB Recommended dilution: |
500-3000 |


購物車
幫助
021-54845833/15800441009
