中文名稱 : 兔抗OAZ1多克隆抗體
英文名稱 : Anti-OAZ1 rabbit polyclonal antibody
別 名 : AZI; OAZ
儲 存 : 冷凍(-20℃) 避光
抗 原 : OAZ1
宿 主 : Rabbit
相關類別 : 一抗
反應種屬 : Human Mouse
標 記 物 : Unconjugate
克隆類型 : Unconjugate
技術規格
|
Background: |
The protein encoded by this gene belongs to the ornithine decarboxylase antizyme family, which plays a role in cell growth and proliferation by regulating intracellular polyamine levels. Expression of antizymes requires +1 ribosomal frameshifting, which is enhanced by high levels of polyamine in cells. Antizymes in turn bind to and inhibit ornithine decarboxylase (ODC), the key enzyme in polyamine biosynthesis pathway; thus, completing the auto-regulatory circuit. This gene encodes antizyme 1, the first member of the antizyme family, that has broad tissue distribution, and negatively regulates intracellular polyamine levels by binding to and targeting ODC for degradation, as well as by inhibiting polyamine uptake. Antizyme 1 mRNA contains two potential in-frame AUGs, and studies in rat suggest that alternative use of the two translation initiation sites results in N-terminally distinct protein isoforms with different subcellular localization (PMID:16120325). Alternatively spliced transcript variants have also been noted for this gene. |
|
Applications: |
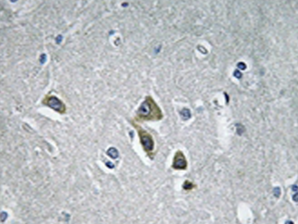
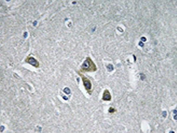
IHC |
|
Name of antibody: |
OAZ1 |
|
Immunogen: |
Synthesized peptide derived from N-terminal of human OAZ1. |
|
Full name: |
ornithine decarboxylase antizyme 1 |
|
Synonyms: |
AZI; OAZ |
|
SwissProt: |
P54368 |
|
IHC positive control: |
Human brain tissue |
|
IHC Recommend dilution: |
50-100 |

購物車
幫助
021-54845833/15800441009
