中文名稱: 兔抗OLFM1多克隆抗體
英文名稱: Anti-OLFM1 rabbit polyclonal antibody
別 名: OLFM1; NOELIN1; AMY; olfactomedin 1; NOE1; Noelin
相關類別: 一抗
抗 原: OLFM1
儲 存: 冷凍(-20℃) 避光
宿 主: Rabbit
反應種屬: Human, Mouse, Rat
標 記 物: Unconjugate
克隆類型: rabbit polyclonal
技術規格
|
Background: |
The Olfactomedin family comprises a diverse group of secreted glycoproteins, which includes OLFM1 (Noelin-1), OLFM2 (Noelin-2), OLFM3 (Noelin-3), OLFM4 (Noelin-4), tiarin, pancortin, gliomedin and mycocilin. These proteins are implicated in the development of the nervous system. Specifically, OLFM1 and OLFM2 expression is observed in the neural plate and neural crest, as well as in the cranial ganglia in mouse at E8-10, and later in brain tissue and in the zone of polarizing activity in the limb. Overexpression of OLFM1 causes an excess of neural crest emigrations and prolonged neural crest production. OLFM2 participates in the regulation of the development of the anterior nervous system. An Arg144Gln mutation in OLFM2 has been implicated as a possible cause for open-angle glaucoma (OAG). |
|
Applications: |
WB, IHC |
|
Name of antibody: |
OLFM1 |
|
Immunogen: |
Fusion protein of human OLFM1 |
|
Full name: |
olfactomedin 1 |
|
Synonyms: |
OLFM1; NOELIN1; AMY; olfactomedin 1; NOE1; Noelin |
|
SwissProt: |
Q99784 |
|
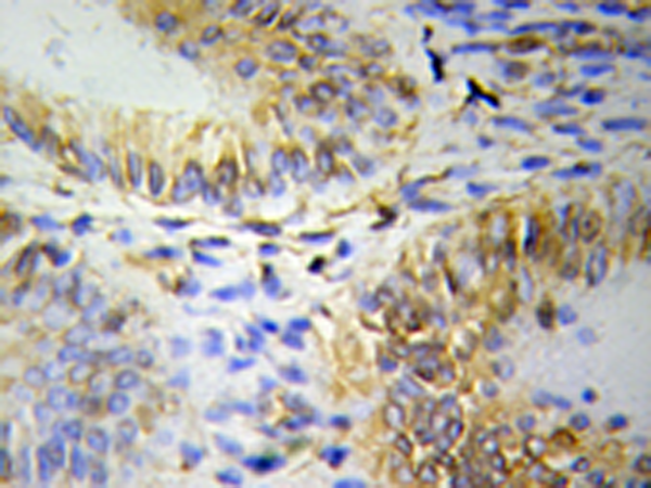
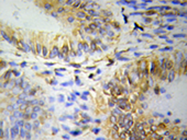
IHC positive control: |
Human lung cancer |
|
IHC Recommend dilution: |
50-200 |
|
WB Predicted band size: |
55 kDa |
|
WB Positive control: |
Brain tissue; MCF7, A549 and SW480 cells |
|
WB Recommended dilution: |
500-2000 |


購物車
幫助
021-54845833/15800441009
