中文名稱: 兔抗OLA1多克隆抗體
英文名稱: Anti-OLA1 rabbit polyclonal antibody
別 名: Obg like ATPase 1; DOC45; GBP45; GTBP9; GTPBP9; PTD004
相關類別: 一抗
儲 存: 冷凍(-20℃)
宿 主: Rabbit
抗 原: OLA1
反應種屬: Human, Mouse, Rat
標 記 物: Unconjugate
克隆類型: rabbit polyclonal
技術規格
|
Background: |
This gene encodes a member of the GTPase protein family. The encoded protein interacts with breast cancer-associated gene 1 (BRCA1) and BRCA1-associated RING domain protein (BARD1), and is involved in centrosome regulation. Overexpression of this gene has been observed in multiple types of cancer and may be associated with poor survival. Pseudogenes of this gene have been defined on chromosomes 17 and 22. |
|
Applications: |
ELISA, WB, IHC |
|
Name of antibody: |
OLA1 |
|
Immunogen: |
Fusion protein of human OLA1 |
|
Full name: |
Obg like ATPase 1 |
|
Synonyms: |
DOC45; GBP45; GTBP9; GTPBP9; PTD004 |
|
SwissProt: |
Q9NTK5 |
|
ELISA Recommended dilution: |
5000-10000 |
|
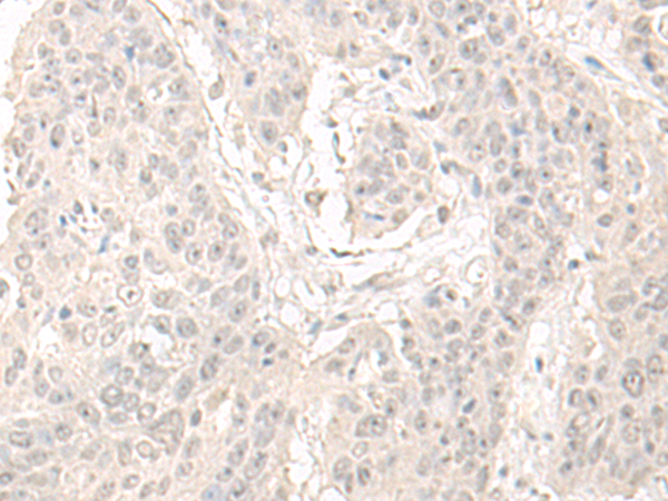
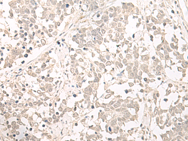
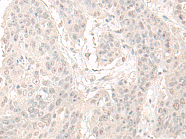
IHC positive control: |
Human cervical cancer and Human lung cancer |
|
IHC Recommend dilution: |
40-200 |
|
WB Predicted band size: |
45 kDa |
|
WB Positive control: |
A375 cell lysate |
|
WB Recommended dilution: |
500-2000 |



購物車
幫助
021-54845833/15800441009
