中文名稱:兔抗SLC25A2多克隆抗體
|
Background: |
Located between the protocadherin beta and gamma gene clusters on chromosome 5, this intronless gene encodes a protein that is highly similar to an ornithine transporter localized in the mitochondrial inner membrane. The encoded protein most likely plays a role in metabolism as a mitochondrial transport protein. |
|
Applications: |
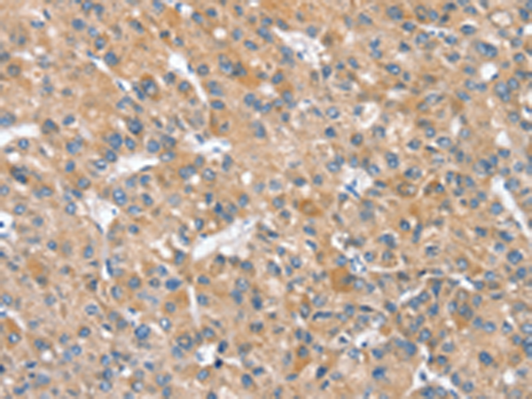
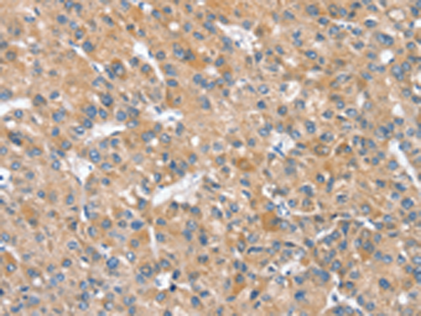
ELISA, IHC |
|
Name of antibody: |
SLC25A2 |
|
Immunogen: |
Fusion protein of human SLC25A2 |
|
Full name: |
solute carrier family 25 (mitochondrial carrier; ornithine transporter) member 2 |
|
Synonyms: |
ORC2; ORNT2 |
|
SwissProt: |
Q9BXI2 |
|
ELISA Recommended dilution: |
2000-5000 |
|
IHC positive control: |
Human liver cancer |
|
IHC Recommend dilution: |
20-100 |
購物車
幫助
021-54845833/15800441009
