中文名稱: 兔抗PAK1(Phospho-Ser199) 多克隆抗體
英文名稱: Anti-PAK1(Phospho-Ser199) rabbit polyclonal antibody
別 名: PAKalpha
相關類別: 一抗
儲 存: 冷凍(-20℃) 避光
宿 主: Rabbit
抗 原:PAK1(Phospho-Ser199)
反應種屬: Human
標 記 物: Unconjugate
克隆類型: rabbit polyclonal
技術規格
|
Background: |
The activated kinase acts on a variety of targets. Likely to be the GTPase effector that links the Rho-related GTPases to the JNK MAP kinase pathway. Activated by CDC42 and RAC1. Involved in dissolution of stress fibers and reorganization of focal complexes. Involved in regulation of microtubule biogenesis through phosphorylation of TBCB. Activity is inhibited in cells undergoing apoptosis, potentially due to binding of CDC2L1 and CDC2L2. |
|
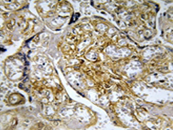
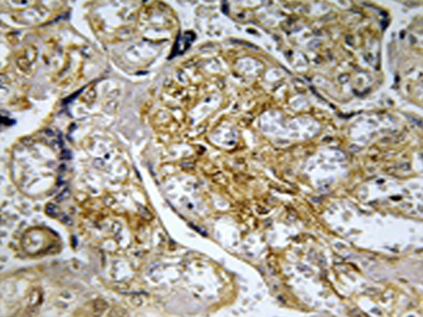
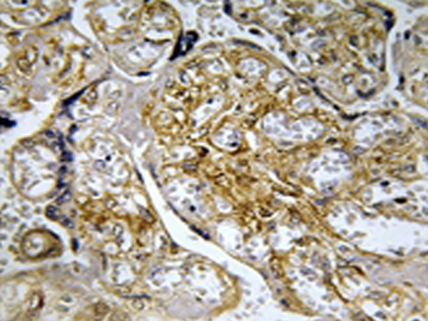
Applications: |
WB, IHC |
|
Name of antibody: |
PAK1(Phospho-Ser199) |
|
Immunogen: |
Peptide sequence around phosphorylation site of Serine 199(T-K-S(p)-V-I) derived from Human PAK1. |
|
Full name: |
p21 protein (Cdc42/Rac)-activated kinase 1 |
|
Synonyms: |
PAKalpha |
|
SwissProt: |
Q13153 |
|
IHC positive control: |
Human placenta tissue |
|
IHC Recommend dilution: |
50-100 |
|
WB Predicted band size: |
61 kDa |
|
WB Positive control: |
LOVO cells lysates treated with starved |
|
WB Recommended dilution: |
500-1000 |


購物車
幫助
021-54845833/15800441009
