中文名稱: 兔抗pan CDH多克隆抗體
英文名稱: Anti-pan CDH rabbit polyclonal antibody
相關類別: 一抗
儲 存: 冷凍(-20℃)
宿 主: Rabbit
抗 原: pan CDH
反應種屬: Human, Mouse, Rat
標 記 物: Unconjugate
克隆類型: rabbit polyclonal
技術規格
|
Background: |
This gene is a classical cadherin from the cadherin superfamily. The encoded protein is a calcium dependent cell-cell adhesion glycoprotein comprised of five extracellular cadherin repeats, a transmembrane region and a highly conserved cytoplasmic tail. Mutations in this gene are correlated with gastric, breast, colorectal, thyroid and ovarian cancer. Loss of function is thought to contribute to progression in cancer by increasing proliferation, invasion, and/or metastasis. The ectodomain of this protein mediates bacterial adhesion to mammalian cells and the cytoplasmic domain is required for internalization. Identified transcript variants arise from mutation at consensus splice sites. |
|
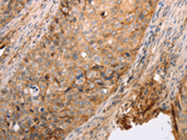
Applications: |
ELISA, IHC |
|
Name of antibody: |
pan CDH |
|
Immunogen: |
Synthetic peptide of human pan CDH |
|
Full name: |
pan-cadherin |
|
SwissProt: |
P12830 |
|
ELISA Recommended dilution: |
2000-5000 |
|
IHC positive control: |
Human cervical cancer and Human lung cancer |
|
IHC Recommend dilution: |
25-100 |

購物車
幫助
021-54845833/15800441009
