中文名稱:兔抗CLCA1多克隆抗體
|
Background: |
This gene encodes a member of the calcium sensitive chloride conductance protein family. To date, all members of this gene family map to the same region on chromosome 1p31-p22 and share a high degree of homology in size, sequence, and predicted structure, but differ significantly in their tissue distributions. The encoded protein is expressed as a precursor protein that is processed into two cell-surface-associated subunits, although the site at which the precursor is cleaved has not been precisely determined. The encoded protein may be involved in mediating calcium-activated chloride conductance in the intestine. |
|
Applications: |
ELISA, IHC |
|
Name of antibody: |
CLCA1 |
|
Immunogen: |
Synthetic peptide of human CLCA1 |
|
Full name: |
chloride channel accessory 1 |
|
Synonyms: |
CACC; GOB5; CACC1; CLCRG1; CaCC-1; hCLCA1; hCaCC-1 |
|
SwissProt: |
A8K7I4 |
|
ELISA Recommended dilution: |
5000-10000 |
|
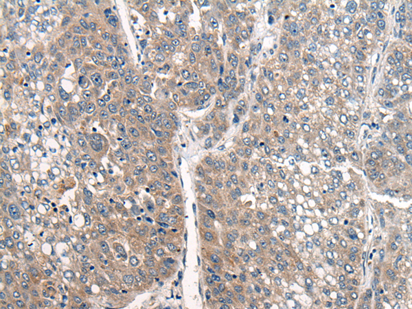
IHC positive control: |
Human liver cancer |
|
IHC Recommend dilution: |
20-100 |
購物車
幫助
021-54845833/15800441009
