中文名稱:兔抗CDH23多克隆抗體
英文名稱: Anti-CDH23 rabbit polyclonal antibody
儲 存: 冷凍(-20℃)
相關類別: 一抗
反應種屬: Human, Mouse, Rat
標 記 物: Unconjugate
克隆類型: rabbit polyclonal
技術規格
|
Background: |
This gene is a member of the cadherin superfamily, whose genes encode calcium dependent cell-cell adhesion glycoproteins. The encoded protein is thought to be involved in stereocilia organization and hair bundle formation. The gene is located in a region containing the human deafness loci DFNB12 and USH1D. Usher syndrome 1D and nonsyndromic autosomal recessive deafness DFNB12 are caused by allelic mutations of this cadherin-like gene. Upregulation of this gene may also be associated with breast cancer. Alternative splice variants encoding different isoforms have been described. |
|
Applications: |
ELISA, IHC |
|
Name of antibody: |
CDH23 |
|
Immunogen: |
Synthetic peptide of human CDH23 |
|
Full name: |
cadherin-related 23 |
|
Synonyms: |
USH1D; CDHR23 |
|
SwissProt: |
Q9H251 |
|
ELISA Recommended dilution: |
5000-10000 |
|
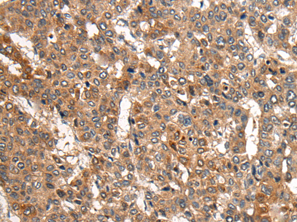
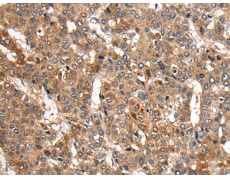
IHC positive control: |
Human liver cancer |
|
IHC Recommend dilution: |
25-100 |

購物車
幫助
021-54845833/15800441009
