中文名稱: 兔抗SLAMF7多克隆抗體
英文名稱: Anti-SLAMF7 rabbit polyclonal antibody
別 名: SLAM family member 7; 19A; CS1; CD319; CRACC
抗 原: SLAMF7
儲 存: 冷凍(-20℃)
宿 主: Rabbit
相關類別: 一抗
反應種屬: Human
標 記 物: Unconjugate
克隆類型: rabbit polyclonal
技術規格
|
Background: |
Self-ligand receptor of the signaling lymphocytic activation molecule (SLAM) family. SLAM receptors triggered by homo- or heterotypic cell-cell interactions are modulating the activation and differentiation of a wide variety of immune cells and thus are involved in the regulation and interconnection of both innate and adaptive immune response. Activities are controlled by presence or absence of small cytoplasmic adapter proteins, SH2D1A/SAP and/or SH2D1B/EAT-2. Isoform 1 mediates NK cell activation through a SH2D1A-independent extracellular signal-regulated ERK-mediated pathway (PubMed:11698418). Positively regulates NK cell functions by a mechanism dependent on phosphorylated SH2D1B. Downstream signaling implicates PLCG1, PLCG2 and PI3K (PubMed:16339536). In addition to heterotypic NK cells-target cells interactions also homotypic interactions between NK cells may contribute to activation. However, in the absence of SH2D1B, inhibits NK cell function. Acts also inhibitory in T-cells (By similarity). May play a role in lymphocyte adhesion (PubMed:11802771). In LPS-activated monocytes negatively regulates production of proinflammatory cytokines (PubMed:23695528). |
|
Applications: |
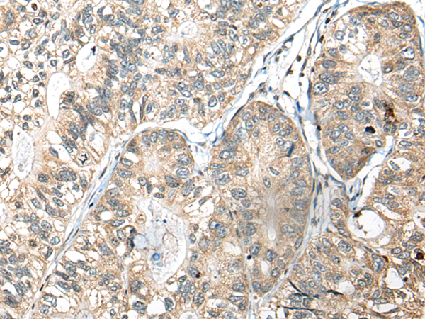
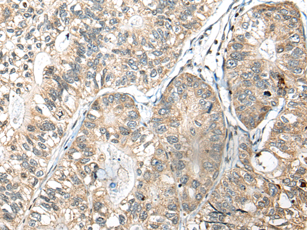
ELISA, IHC |
|
Name of antibody: |
SLAMF7 |
|
Immunogen: |
Fusion protein of human SLAMF7 |
|
Full name: |
SLAM family member 7 |
|
Synonyms: |
19A; CS1; CD319; CRACC |
|
SwissProt: |
Q9NQ25 |
|
ELISA Recommended dilution: |
5000-10000 |
|
IHC positive control: |
Human gastric cancer |
|
IHC Recommend dilution: |
30-150 |

購物車
幫助
021-54845833/15800441009
