中文名稱:兔抗B3GALT6多克隆抗體
|
Background: |
The enzyme encoded by this intronless gene is a beta-1,3-galactosyltransferase found in the medial Golgi apparatus, where it catalyzes the transfer of galactose from UDP-galactose to substrates containing a terminal beta-linked galactose moiety. The encoded enzyme has a particular affinity for galactose-beta-1,4-xylose found in the linker region of glycosamines. This enzyme is required for glycosaminoglycan synthesis. |
|
Applications: |
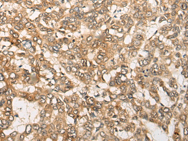
ELISA, IHC |
|
Name of antibody: |
B3GALT6 |
|
Immunogen: |
Synthetic peptide of human B3GALT6 |
|
Full name: |
beta-1,3-galactosyltransferase 6 |
|
Synonyms: |
EDSP2; SEMDJL1; beta3GalT6 |
|
SwissProt: |
Q96L58 |
|
ELISA Recommended dilution: |
5000-10000 |
|
IHC positive control: |
Human liver cancer |
|
IHC Recommend dilution: |
25-100 |

購物車
幫助
021-54845833/15800441009
