|
Background: |
The GLIPR1 (glioma pathogenesis-related 1) family consists of three core members, designated GLIPR1, GLIPR1L1 (GLIPR1-like protein 1) and GLIPR1L2, which form a distinct subgroup within the cysteine-rich secretory protein (CRISP), antigen 5 and pathogenesis-related 1 (CAP) superfamily. Each member of the CAP superfamily has a conserved N-terminal CAP domain and a distinct C-terminal extension. CAP superfamily proteins are hypothesized to have roles in immunity, cell adhesion, carcinogenesis and male fertility. GLIPR1L1 is a 242 amino acid secreted protein. Highly expressed in testis, GLIPR1L1 exists as two isoforms produced by alternative splicing events. GLIPR1L1 is encoded by a gene that maps to human chromosome 12q21.1 and mouse chromosome 10 D2. The function of this protein remains unknown. |
|
Applications: |
ELISA, WB, IHC |
|
Name of antibody: |
GLIPR1L1 |
|
Immunogen: |
Fusion protein of human GLIPR1L1 |
|
Full name: |
GLI pathogenesis-related 1 like 1 |
|
Synonyms: |
PRO7434; ALKN2972 |
|
SwissProt: |
Q6UWM5 |
|
ELISA Recommended dilution: |
5000-10000 |
|
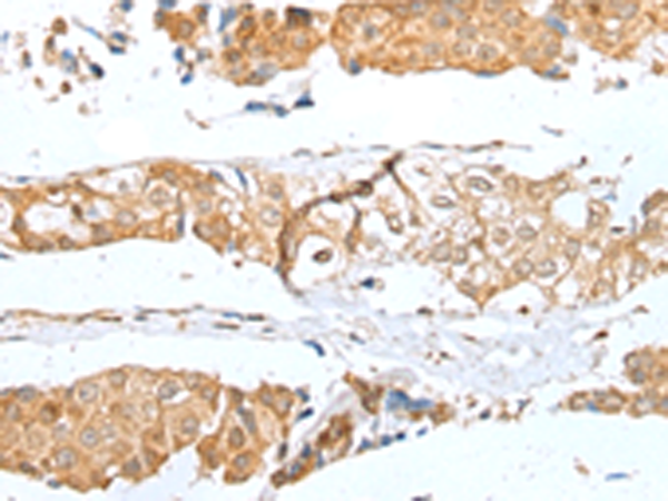
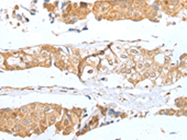
IHC positive control: |
Human breast cancer |
|
IHC Recommend dilution: |
25-100 |
|
WB Predicted band size: |
27 kDa |
|
WB Positive control: |
Human testis tissue |
|
WB Recommended dilution: |
500-2000 |


購物車
幫助
021-54845833/15800441009
