中文名稱: 兔抗PER3多克隆抗體
英文名稱: Anti-PER3 rabbit polyclonal antibody
別 名: period circadian regulator 3; GIG13; FASPS3
相關類別: 一抗
宿 主: Rabbit
抗 原: PER3
反應種屬: Human, Mouse, Rat
標 記 物: Unconjugate
克隆類型: rabbit polyclonal
技術規格
|
Background: |
This gene is a member of the Period family of genes and is expressed in a circadian pattern in the suprachiasmatic nucleus, the primary circadian pacemaker in the mammalian brain. Genes in this family encode components of the circadian rhythms of locomotor activity, metabolism, and behavior. This gene is upregulated by CLOCK/ARNTL heterodimers but then represses this upregulation in a feedback loop using PER/CRY heterodimers to interact with CLOCK/ARNTL. Polymorphisms in this gene have been linked to sleep disorders. Multiple transcript variants encoding different isoforms have been found for this gene. |
|
Applications: |
ELISA, IHC |
|
Name of antibody: |
PER3 |
|
Immunogen: |
Fusion protein of human PER3 |
|
Full name: |
period circadian regulator 3 |
|
Synonyms: |
GIG13; FASPS3 |
|
SwissProt: |
P56645 |
|
ELISA Recommended dilution: |
5000-10000 |
|
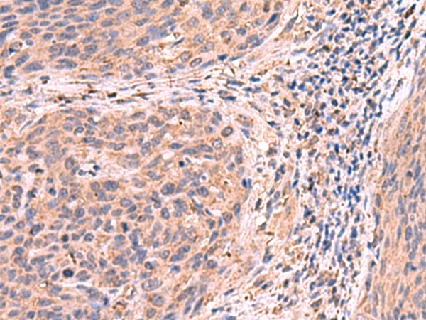
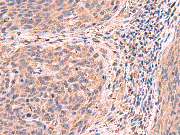
IHC positive control: |
Human esophagus cancer and Human cervical cancer |
|
IHC Recommend dilution: |
50-300 |


購物車
幫助
021-54845833/15800441009
