中文名稱 : 兔抗PEX2多克隆抗體
英文名稱 : Anti-PEX2 rabbit polyclonal antibody
別 名 : PAF1; PMP3; ZWS3; PBD5A; PBD5B; PMP35; PXMP3; RNF72
儲 存 : 冷凍(-20℃) 避光
抗 原 : PEX2
宿 主 : Rabbit
反應種屬 : Human
相關類別 : 一抗
標 記 物 : Unconjugate
克隆類型 : rabbit polyclonal
技術規格
|
Background: |
This gene encodes an integral peroxisomal membrane protein required for peroxisome biogenesis. The protein is thought to be involved in peroxisomal matrix protein import. Mutations in this gene result in one form of Zellweger syndrome and infantile Refsum disease. Alternative splicing results in multiple transcript variants encoding the same protein. |
|
Applications: |
WB, IHC |
|
Name of antibody: |
PEX2 |
|
Immunogen: |
Synthesized peptide derived from N-terminal of human PXMP3. |
|
Full name: |
peroxisomal biogenesis factor 2 |
|
Synonyms: |
PAF1; PMP3; ZWS3; PBD5A; PBD5B; PMP35; PXMP3; RNF72 |
|
SwissProt: |
P28328 |
|
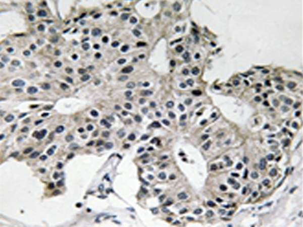
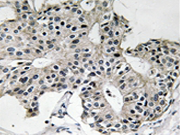
IHC positive control: |
Human breast carcinoma tissue |
|
IHC Recommend dilution: |
50-100 |
|
WB Predicted band size: |
35 kDa |
|
WB Positive control: |
A549 cells lysate |
|
WB Recommended dilution: |
500-3000 |


購物車
幫助
021-54845833/15800441009
