|
Background: |
The function of this protein remains unknown. |
|
Applications: |
ELISA, WB, IHC |
|
Name of antibody: |
GPATCH1 |
|
Immunogen: |
Synthetic peptide of human GPATCH1 |
|
Full name: |
G-patch domain containing 1 |
|
Synonyms: |
ECGP; GPATC1 |
|
SwissProt: |
Q9BRR8 |
|
ELISA Recommended dilution: |
5000-10000 |
|
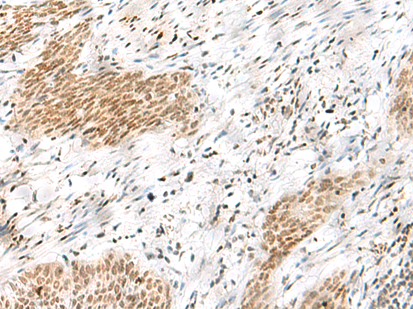
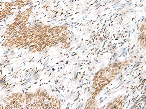
IHC positive control: |
Human tonsil and Human esophagus cancer |
|
IHC Recommend dilution: |
20-100 |
|
WB Predicted band size: |
103 kDa |
|
WB Positive control: |
A549 cell lysate |
|
WB Recommended dilution: |
200-1000 |


購物車
幫助
021-54845833/15800441009
