中文名稱 : 兔抗XAF1多克隆抗體
英文名稱 : Anti-XAF1 rabbit polyclonal antibody
別 名 : BIRC4BP; XIAPAF1; HSXIAPAF1
儲 存 : 冷凍(-20℃)
抗 原 : XAF1
宿 主 : Rabbit
相關類別 : 一抗
反應種屬 : Human
標 記 物 : Unconjugate
克隆類型 : rabbit polyclonal
技術規格
|
Background: |
This gene encodes a protein which binds to and counteracts the inhibitory effect of a member of the IAP (inhibitor of apoptosis) protein family. IAP proteins bind to and inhibit caspases which are activated during apoptosis. The proportion of IAPs and proteins which interfere with their activity, such as the encoded protein, affect the progress of the apoptosis signaling pathway. Multiple transcript variants encoding different isoforms have been found for this gene. |
|
Applications: |
ELISA, IHC |
|
Name of antibody: |
XAF1 |
|
Immunogen: |
Synthetic peptide of human XAF1 |
|
Full name: |
XIAP associated factor 1 |
|
Synonyms: |
BIRC4BP; XIAPAF1; HSXIAPAF1 |
|
SwissProt: |
Q6GPH4 |
|
ELISA Recommended dilution: |
5000-10000 |
|
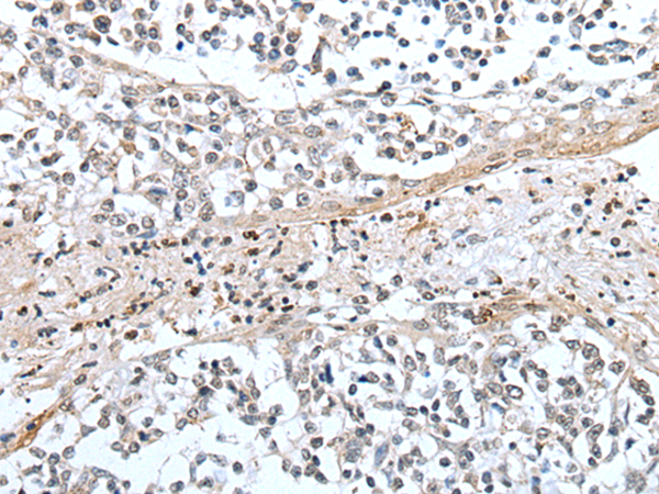
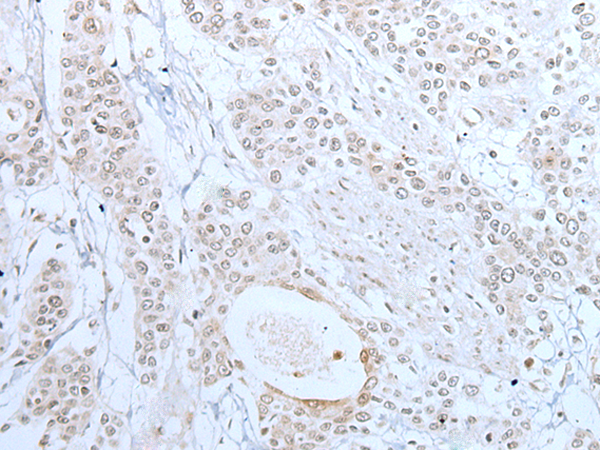
IHC positive control: |
Human prostate cancer and human tonsil |
|
IHC Recommend dilution: |
10-50 |

購物車
幫助
021-54845833/15800441009
