中文名稱:兔抗ANXA13多克隆抗體
|
Background: |
This gene encodes a member of the annexin family. Members of this calcium-dependent phospholipid-binding protein family play a role in the regulation of cellular growth and in signal transduction pathways. The specific function of this gene has not yet been determined; however, it is associated with the plasma membrane of undifferentiated, proliferating endothelial cells and differentiated villus enterocytes. Alternatively spliced transcript variants encoding different isoforms have been identified. |
|
Applications: |
ELISA, WB, IHC |
|
Name of antibody: |
ANXA13 |
|
Immunogen: |
Fusion protein of human ANXA13 |
|
Full name: |
annexin A13 |
|
Synonyms: |
ISA; ANX13 |
|
SwissProt: |
P27216 |
|
ELISA Recommended dilution: |
5000-10000 |
|
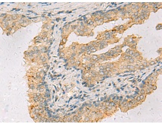
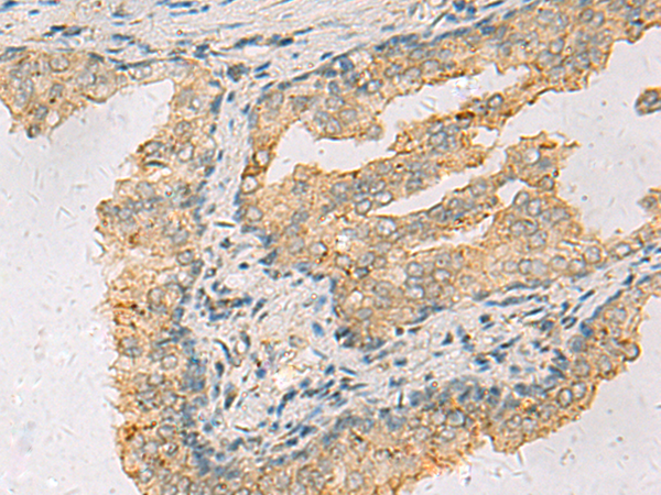
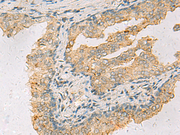
IHC positive control: |
Human liver cancer and Human prostate cancer |
|
IHC Recommend dilution: |
100-300 |
|
WB Predicted band size: |
35 kDa |
|
WB Positive control: |
Mouse small intestines tissue lysate |
|
WB Recommended dilution: |
500-2000 |
購(gòu)物車(chē)
幫助
021-54845833/15800441009
