中文名稱: 兔抗E2F3多克隆抗體
|
Background: |
This gene encodes a member of a small family of transcription factors that function through binding of DP interaction partner proteins. The encoded protein recognizes a specific sequence motif in DNA and interacts directly with the retinoblastoma protein (pRB) to regulate the expression of genes involved in the cell cycle. Altered copy number and activity of this gene have been observed in a number of human cancers. There are pseudogenes for this gene on chromosomes 2 and 17. Alternative splicing results in multiple transcript variants. |
|
Applications: |
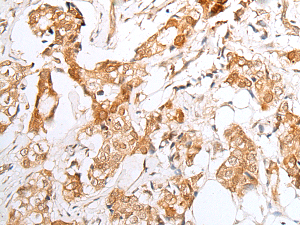
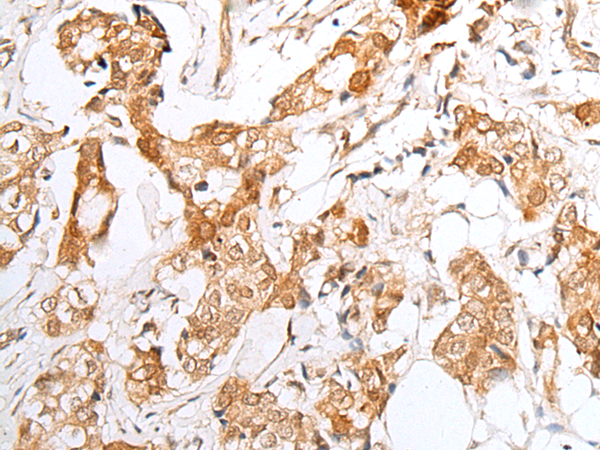
ELISA, IHC |
|
Name of antibody: |
E2F3 |
|
Immunogen: |
Synthetic peptide of human E2F3 |
|
Full name: |
E2F transcription factor 3 |
|
Synonyms: |
E2F-3 |
|
SwissProt: |
O00716 |
|
ELISA Recommended dilution: |
5000-10000 |
|
IHC positive control: |
Human breast cancer |
|
IHC Recommend dilution: |
25-100 |
購物車
幫助
021-54845833/15800441009
