中文名稱: 兔抗POLR1E多克隆抗體
英文名稱: Anti-POLR1E rabbit polyclonal antibody
別 名: RNA polymerase I subunit E; PAF53; PRAF1
相關類別: 一抗
儲 存: 冷凍(-20℃)
宿 主: Rabbit
抗 原: POLR1E
反應種屬: Human
標 記 物: Unconjugate
克隆類型: rabbit polyclonal
技術規格
|
Background: |
DNA-dependent RNA polymerase catalyzes the transcription of DNA into RNA using the four ribonucleoside triphosphates as substrates. Component of RNA polymerase I which synthesizes ribosomal RNA precursors. Appears to be involved in the formation of the initiation complex at the promoter by mediating the interaction between Pol I and UBTF/UBF (By similarity). |
|
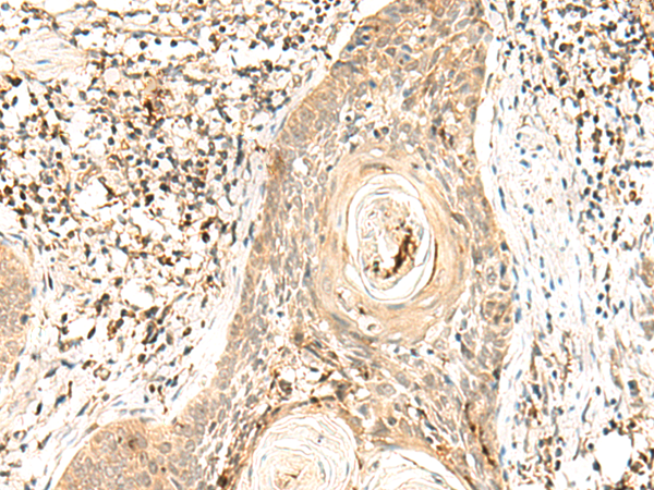
Applications: |
ELISA, IHC |
|
Name of antibody: |
POLR1E |
|
Immunogen: |
Fusion protein of human POLR1E |
|
Full name: |
RNA polymerase I subunit E |
|
Synonyms: |
PAF53; PRAF1 |
|
SwissProt: |
Q9GZS1 |
|
ELISA Recommended dilution: |
5000-10000 |
|
IHC positive control: |
Human esophagus cancer and Human tonsil |
|
IHC Recommend dilution: |
40-200 |

購物車
幫助
021-54845833/15800441009
