中文名稱:兔抗ARRDC2多克隆抗體
英文名稱: Anti-ARRDC2 rabbit polyclonal antibody
別 名: PP2703; CLONE24945
抗 原: ARRDC2
儲 存: 冷凍(-20℃) 避光
宿 主: Rabbit
相關類別: 一抗
反應種屬: Human Mouse
標 記 物: Unconjugate
克隆類型: Unconjugate
技術規格
|
Background: |
Belongs to the arrestin family. 2 isoforms of the human protein are produced by alternative splicing. |
|
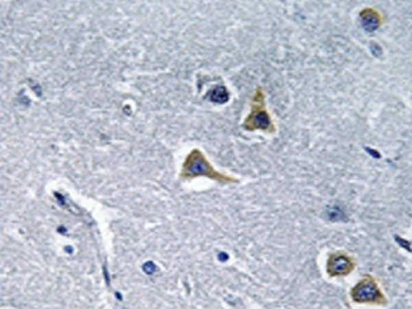
Applications: |
IHC |
|
Name of antibody: |
ARRDC2 |
|
Immunogen: |
Synthesized peptide derived from internal of human ARRDC2. |
|
Full name: |
arrestin domain containing 2 |
|
Synonyms: |
PP2703; CLONE24945 |
|
SwissProt: |
Q8TBH0 |
|
IHC positive control: |
Human brain tissue |
|
IHC Recommend dilution: |
50-100 |
購物車
幫助
021-54845833/15800441009
