中文名稱: 兔抗PRELID3B多克隆抗體
英文名稱: Anti-PRELID3B rabbit polyclonal antibody
別 名: PRELI domain containing 3B; SLMO2; C20orf45; dJ543J19.5
相關類別: 一抗
儲 存: 冷凍(-20℃)
宿 主: Rabbit
抗 原: PRELID3B
反應種屬: Human, Mouse, Rat
標 記 物: Unconjugate
克隆類型: rabbit polyclonal
技術規格
|
Background: |
The function of this protein remains unknown. |
|
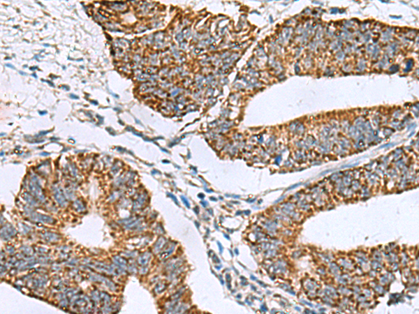
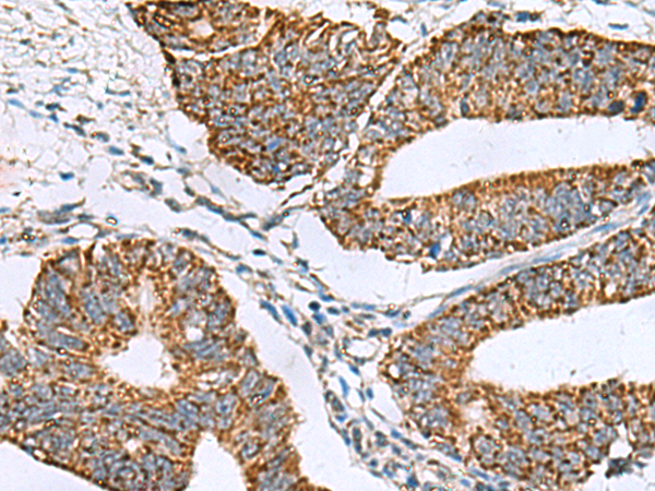
Applications: |
ELISA, IHC |
|
Name of antibody: |
PRELID3B |
|
Immunogen: |
Fusion protein of human PRELID3B |
|
Full name: |
PRELI domain containing 3B |
|
Synonyms: |
SLMO2; C20orf45; dJ543J19.5 |
|
SwissProt: |
Q9Y3B1 |
|
ELISA Recommended dilution: |
5000-10000 |
|
IHC positive control: |
Human liver cancer and Human colorectal cancer |
|
IHC Recommend dilution: |
100-300 |


購物車
幫助
021-54845833/15800441009
