中文名稱: 兔抗PRKCB (Phospho-Thr641)多克隆抗體
英文名稱: Anti-PRKCB (Phospho-Thr641) rabbit polyclonal antibody
別 名: PKCB; PRKCB1; PRKCB2; PKC-beta
相關類別: 一抗
儲 存: 冷凍(-20℃) 避光
宿 主: Rabbit
抗 原: PRKCB (Phospho-Thr641)
反應種屬: Human, Mouse, Rat
標 記 物: Unconjugate
克隆類型: rabbit polyclonal
技術規格
|
Background: |
Calcium-activated and phospholipid-dependent serine/threonine-protein kinase involved in various processes such as regulation of the B-cell receptor (BCR) signalosome, apoptosis and transcription regulation. Plays a key role in B-cell activation and function by regulating BCR-induced NF-kappa-B activation and B-cell suvival. Required for recruitment and activation of the IKK kinase to lipid rafts and mediates phosphorylation of CARD11/CARMA1 at 'Ser-559', 'Ser-644' and 'Ser-652', leading to activate the NF-kappa-B signaling. Involved in apoptosis following oxidative damage: in case of oxidative conditions, specifically phosphorylates 'Ser-36' of isoform p66Shc of SHC1, leading to mitochondrial accumulation of p66Shc, where p66Shc acts as a reactive oxygen species producer. Acts as a coactivator of androgen receptor (ANDR)-dependent transcription, by being recruited to ANDR target genes and specifically mediating phosphorylation of 'Thr-6' of histone H3 (H3T6ph), a specific tag for epigenetic transcriptional activation that prevents demethylation of histone H3 'Lys-4' (H3K4me) by LSD1/KDM1A. Also involved in triglyceride homeostasis. Serves as the receptor for phorbol esters, a class of tumor promoters. |
|
Applications: |
WB, IHC, IF |
|
Name of antibody: |
PRKCB (Phospho-Thr641) |
|
Immunogen: |
Synthetic peptide of human PRKCB (Phospho-Thr641) |
|
Full name: |
protein kinase C, beta (Phospho-Thr641) |
|
Synonyms: |
PKCB; PRKCB1; PRKCB2; PKC-beta |
|
SwissProt: |
P05771 |
|
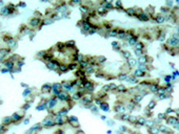
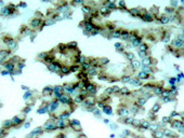
IHC positive control: |
Human lung carcinoma |
|
IHC Recommend dilution: |
50-100 |
|
WB Predicted band size: |
82 kDa |
|
WB Positive control: |
Jurkat cells untreated or treated with PMA |
|
WB Recommended dilution: |
500-1000 |
|
IF Positive control: |
MCF7 cells |
|
IF Recommended dilution |
100-200 |



購物車
幫助
021-54845833/15800441009
