|
Background: |
The protein encoded by this gene is a Kazal-type serine protease inhibitor that acts on kallikrein-related peptidases in the skin. Two transcript variants the same protein have been found for this gene. |
|
Applications: |
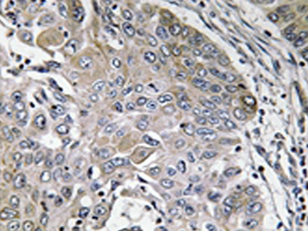
IHC |
|
Name of antibody: |
SPINK6 |
|
Immunogen: |
Synthesized peptide derived from internal of human SPINK6. |
|
Full name: |
serine peptidase inhibitor, Kazal type 6 |
|
Synonyms: |
BUSI2; UNQ844 |
|
SwissProt: |
Q6UWN8 |
|
IHC positive control: |
Human lung carcinoma tissue |
|
IHC Recommend dilution: |
50-100 |
購物車
幫助
021-54845833/15800441009
