中文名稱: 兔抗PRKDC多克隆抗體
英文名稱: Anti-PRKDC rabbit polyclonal antibody
別 名: HYRC; p350; DNAPK; DNPK1; HYRC1; IMD26; XRCC7; DNA-PKcs
相關類別: 一抗
儲 存: 冷凍(-20℃)
宿 主: Rabbit
抗 原: PRKDC
反應種屬: Human, Mouse
標 記 物: Unconjugate
克隆類型: rabbit polyclonal
技術規格
|
Background: |
This gene encodes the catalytic subunit of the DNA-dependent protein kinase (DNA-PK). It functions with the Ku70/Ku80 heterodimer protein in DNA double strand break repair and recombination. The protein encoded is a member of the PI3/PI4-kinase family. |
|
Applications: |
ELISA, WB, IHC |
|
Name of antibody: |
PRKDC |
|
Immunogen: |
Synthetic peptide of human PRKDC |
|
Full name: |
protein kinase, DNA-activated, catalytic polypeptide |
|
Synonyms: |
HYRC; p350; DNAPK; DNPK1; HYRC1; IMD26; XRCC7; DNA-PKcs |
|
SwissProt: |
P78527 |
|
ELISA Recommended dilution: |
5000-10000 |
|
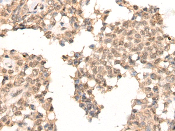
IHC positive control: |
Human ovarian cancer |
|
IHC Recommend dilution: |
20-100 |
|
WB Predicted band size: |
469 kDa |
|
WB Positive control: |
293T and K562 cell |
|
WB Recommended dilution: |
200-1000 |


購物車
幫助
021-54845833/15800441009
