中文名稱: 兔抗TRIB1多克隆抗體
英文名稱: Anti-TRIB1 rabbit polyclonal antibody
別 名: C8FW; GIG2; TRB1; GIG-2; SKIP1; TRB-1
相關類別: 一抗
儲 存: 冷凍(-20℃)
宿 主: Rabbit
抗 原: TRIB1
反應種屬: Human, Mouse
標 記 物: Unconjugate
克隆類型: rabbit polyclonal
技術規格
|
Background: |
Interacts with MAPK kinases and regulates activation of MAP kinases. May not display kinase activity. |
|
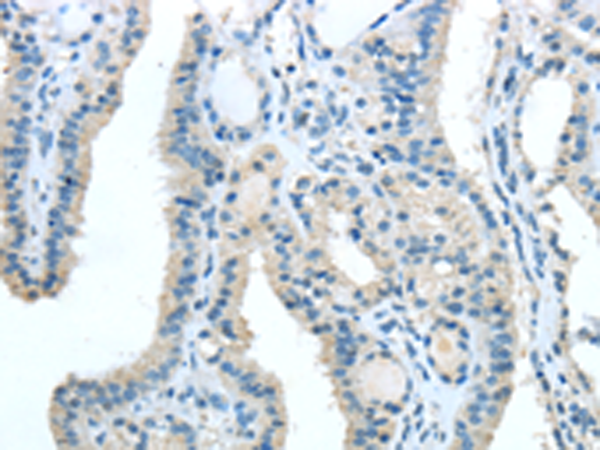
Applications: |
ELISA, IHC |
|
Name of antibody: |
TRIB1 |
|
Immunogen: |
Synthetic peptide of humanTRIB1 |
|
Full name: |
tribbles pseudokinase 1 |
|
Synonyms: |
C8FW; GIG2; TRB1; GIG-2; SKIP1; TRB-1 |
|
SwissProt: |
Q96RU8 |
|
ELISA Recommended dilution: |
1000-2000 |
|
IHC positive control: |
Human thyroid cancer |
|
IHC Recommend dilution: |
10-50 |

購物車
幫助
021-54845833/15800441009
