|
Background: |
The protein encoded by this gene is a cytokine that controls the production, differentiation, and function of granulocytes and macrophages. The active form of the protein is found extracellularly as a homodimer. This gene has been localized to a cluster of related genes at chromosome region 5q31, which is known to be associated with interstitial deletions in the 5q- syndrome and acute myelogenous leukemia. Other genes in the cluster include those encoding interleukins 4, 5, and 13. |
|
Applications: |
ELISA, WB, IHC |
|
Name of antibody: |
CSF2 |
|
Immunogen: |
Fusion protein of human CSF2 |
|
Full name: |
colony stimulating factor 2 |
|
Synonyms: |
CSF; GMCSF |
|
SwissProt: |
P04141 |
|
ELISA Recommended dilution: |
5000-10000 |
|
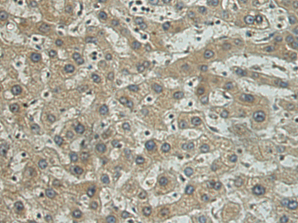
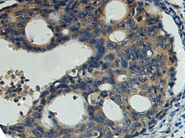
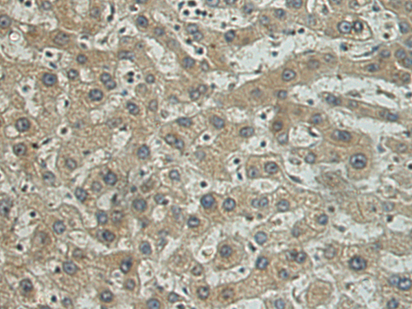
IHC positive control: |
Human colorectal cancer and Human liver cancer |
|
IHC Recommend dilution: |
150-300 |
|
WB Predicted band size: |
16 kDa |
|
WB Positive control: |
HL60 cell lysate |
|
WB Recommended dilution: |
500-2000 |


購物車
幫助
021-54845833/15800441009
