|
Background: |
This gene encodes a member of the TATA box-binding protein family. TATA box-binding proteins play a critical role in transcription by RNA polymerase II as components of the transcription factor IID (TFIID) complex. The encoded protein does not bind to the TATA box and initiates transcription from TATA-less promoters. This gene plays a critical role in spermatogenesis, and single nucleotide polymorphisms in this gene may be associated with male infertility. Alternatively spliced transcript variants have been observed for this gene, and a pseudogene of this gene is located on the long arm of chromosome 3. |
|
Applications: |
ELISA, IHC |
|
Name of antibody: |
TBPL1 |
|
Immunogen: |
Fusion protein of human TBPL1 |
|
Full name: |
TATA-box binding protein like 1 |
|
Synonyms: |
TLF; TLP; STUD; TRF2; MGC:8389; MGC:9620 |
|
SwissProt: |
P62380 |
|
ELISA Recommended dilution: |
5000-10000 |
|
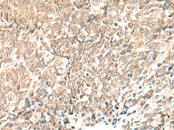
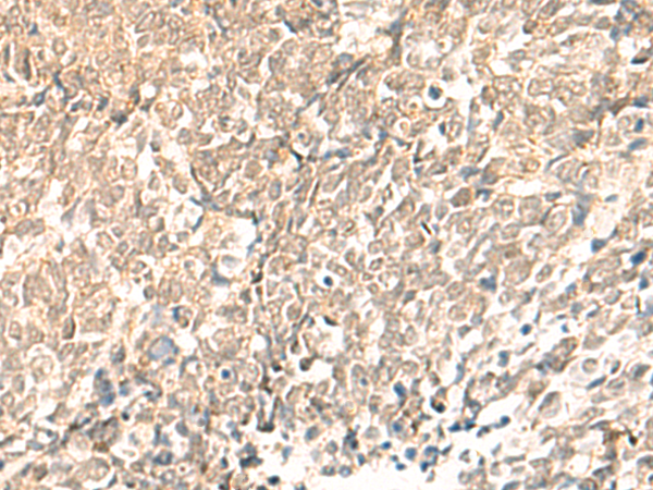
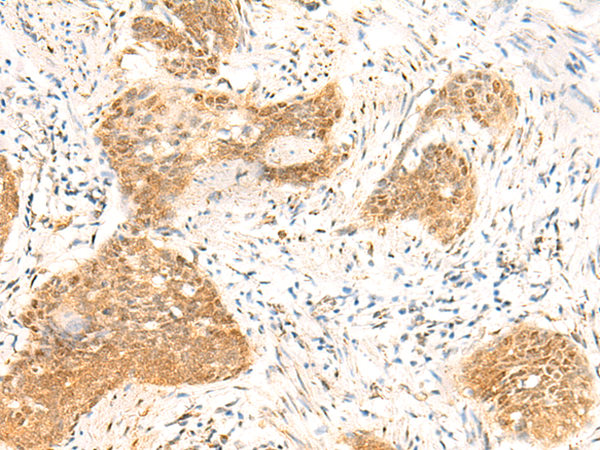
IHC positive control: |
Human esophagus cancer and Human lung cancer |
|
IHC Recommend dilution: |
40-200 |

購物車
幫助
021-54845833/15800441009
