|
Background: |
Protein ubiquitination controls many intracellular processes, including cell cycle progression, transcriptional activation, and signal transduction. This dynamic process, involving ubiquitin conjugating enzymes and deubiquitinating enzymes, adds and removes ubiquitin. Deubiquitinating enzymes are cysteine proteases that specifically cleave ubiquitin from ubiquitin-conjugated protein substrates. This gene encodes a deubiquitinating enzyme which lies in a gene cluster on chromosome Xp11.23 |
|
Applications: |
ELISA, IHC |
|
Name of antibody: |
USP11 |
|
Immunogen: |
Synthetic peptide corresponding to a region derived from 951-963 amino acids of human USP11 |
|
Full name: |
ubiquitin specific peptidase 11 |
|
Synonyms: |
UHX1 |
|
SwissProt: |
P51784 |
|
ELISA Recommended dilution: |
5000-10000 |
|
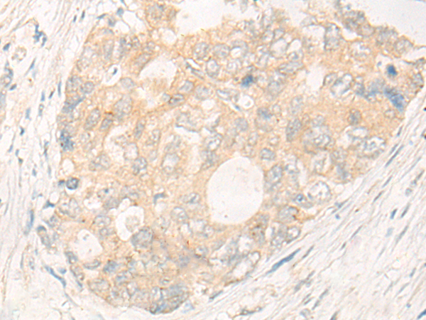
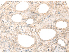
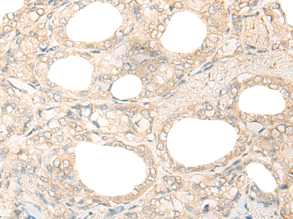
IHC Positive control: |
Human thyroid cancer;Human gastric cancer |
|
IHC Recommended dilution: |
20-100 |

購物車
幫助
021-54845833/15800441009
