|
Background: |
The protein encoded by this gene belongs to the SMAD, a family of proteins similar to the gene products of the Drosophila gene 'mothers against decapentaplegic' (Mad) and the C. elegans gene Sma. SMAD proteins are signal transducers and transcriptional modulators that mediate multiple signaling pathways. This protein functions as a transcriptional modulator activated by transforming growth factor-beta and is thought to play a role in the regulation of carcinogenesis. |
|
Applications: |
WB, IHC |
|
Name of antibody: |
SMAD3(Ab-204) |
|
Immunogen: |
Synthesized non-phosphopeptide derived from human Smad3 around the phosphorylation site of serine 204 (A-G-S(p)-P-N). |
|
Full name: |
SMAD family member 3 |
|
Synonyms: |
LDS3; LDS1C; MADH3; JV15-2; HSPC193; HsT17436 |
|
SwissProt: |
P84022 |
|
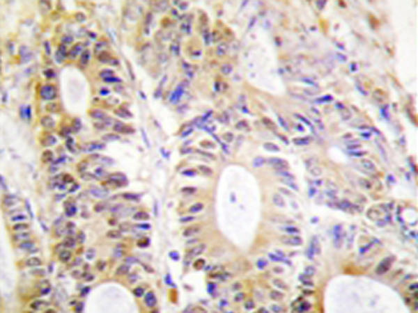
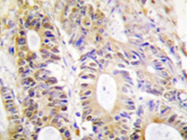
IHC positive control: |
Human colon colon tissue |
|
IHC Recommend dilution: |
50-100 |
|
WB Predicted band size: |
48 kDa |
|
WB Positive control: |
Huvec cells lysate |
|
WB Recommended dilution: |
500-3000 |
購物車
幫助
021-54845833/15800441009
