英文名稱: Anti-NIPSNAP1 rabbit polyclonal antibody
別 名: nipsnap homolog 1
相關類別: 一抗
抗 原: NIPSNAP2
儲 存: 冷凍(-20℃)
宿 主: Rabbit
反應種屬: Human, Mouse
標 記 物: Unconjugate
克隆類型: rabbit polyclonal
技術規格
|
Background: |
This gene encodes a member of the NipSnap family of proteins that may be involved in vesicular transport. The encoded protein is localized to mitochondria and plays a role in oxidative phosphorylation. A pseudogene of this gene is located on the long arm of chromosome 2. Alternatively spliced transcript variants encoding multiple isoforms have been observed for this gene. |
|
Applications: |
ELISA, WB, IHC |
|
Name of antibody: |
NIPSNAP2 |
|
Immunogen: |
Synthetic peptide of human NIPSNAP2 |
|
Full name: |
nipsnap homolog 2 |
|
Synonyms: |
GBAS |
|
SwissProt: |
O75323 |
|
ELISA Recommended dilution: |
5000-10000 |
|
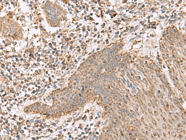
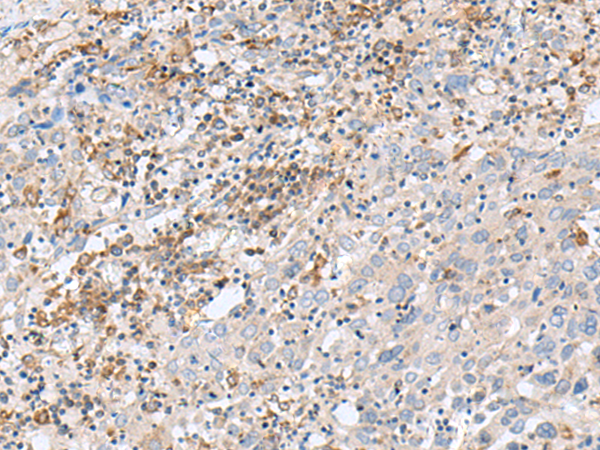
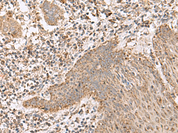
IHC positive control: |
Human cervical cancer and Human esophagus cancer |
|
IHC Recommend dilution: |
30-150 |
|
WB Predicted band size: |
34 kDa |



購物車
幫助
021-54845833/15800441009
