中文名稱:兔抗APEX1多克隆抗體
|
Background: |
Apurinic/apyrimidinic (AP) sites occur frequently in DNA molecules by spontaneous hydrolysis, by DNA damaging agents or by DNA glycosylases that remove specific abnormal bases. AP sites are pre-mutagenic lesions that can prevent normal DNA replication so the cell contains systems to identify and repair such sites. Class II AP endonucleases cleave the phosphodiester backbone 5' to the AP site. This gene encodes the major AP endonuclease in human cells. Splice variants have been found for this gene; all encode the same protein. |
|
Applications: |
ELISA, WB, IHC |
|
Name of antibody: |
APEX1 |
|
Immunogen: |
Fusion protein of human APEX1 |
|
Full name: |
APEX nuclease (multifunctional DNA repair enzyme) 1 |
|
Synonyms: |
APE; APX; APE1; APEN; APEX; HAP1; REF1 |
|
SwissProt: |
P27695 |
|
ELISA Recommended dilution: |
2000-5000 |
|
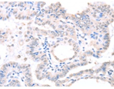
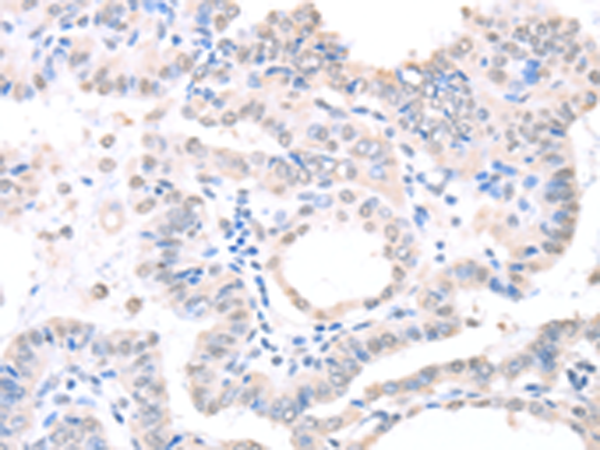
IHC positive control: |
Human thyroid cancer |
|
IHC Recommend dilution: |
15-50 |
|
WB Predicted band size: |
36 kDa |
|
WB Positive control: |
Hela, 293T and A431 cells |
|
WB Recommended dilution: |
500-2000 |
購(gòu)物車
幫助
021-54845833/15800441009
