|
Background: |
The protein encoded by this gene catalyzes the polycondensation of alpha-2,8-linked sialic acid required for the synthesis of polysialic acid, a modulator of the adhesive properties of neural cell adhesion molecule (NCAM1). The encoded protein, which is a member of glycosyltransferase family 29, is a type II membrane protein that may be present in the Golgi apparatus. Two transcript variants encoding different isoforms have been found for this gene. |
|
Applications: |
ELISA, WB, IHC |
|
Name of antibody: |
ST8SIA4 |
|
Immunogen: |
Fusion protein of human ST8SIA4 |
|
Full name: |
ST8 alpha-N-acetyl-neuraminide alpha-2,8-sialyltransferase 4 |
|
Synonyms: |
PST; PST1; SIAT8D; ST8SIA-IV |
|
SwissProt: |
Q92187 |
|
ELISA Recommended dilution: |
5000-10000 |
|
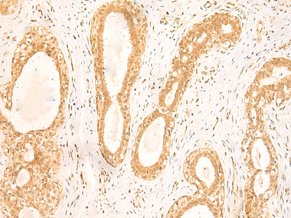
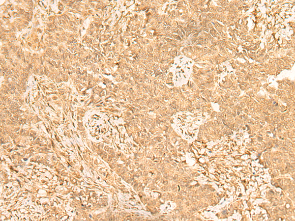
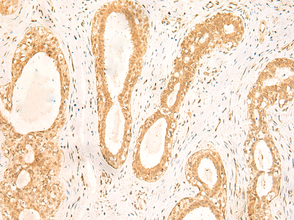
IHC positive control: |
Human ovarian cancer and Human breast cancer |
|
IHC Recommend dilution: |
50-300 |
|
WB Predicted band size: |
41 kDa |
|
WB Positive control: |
Human cerebella tissue lysate |
|
WB Recommended dilution: |
500-2000 |


購物車
幫助
021-54845833/15800441009
