|
Background: |
This gene encodes TBP, the TATA-binding protein. A distinctive feature of TBP is a long string of glutamines in the N-terminus. This region of the protein modulates the DNA binding activity of the C terminus, and modulation of DNA binding affects the rate of transcription complex formation and initiation of transcription. The number of CAG repeats encoding the polyglutamine tract is usually 32-39, and expansion of the number of repeats increases the length of the polyglutamine string and is associated with spinocerebellar ataxia 17, a neurodegenerative disorder classified as a polyglutamine disease. |
|
Applications: |
ELISA, WB, IHC |
|
Name of antibody: |
TBP |
|
Immunogen: |
Full length fusion protein |
|
Full name: |
TATA box binding protein |
|
Synonyms: |
HDL4; GTF2D; SCA17; TFIID; GTF2D1 |
|
SwissProt: |
P20226 |
|
ELISA Recommended dilution: |
5000-10000 |
|
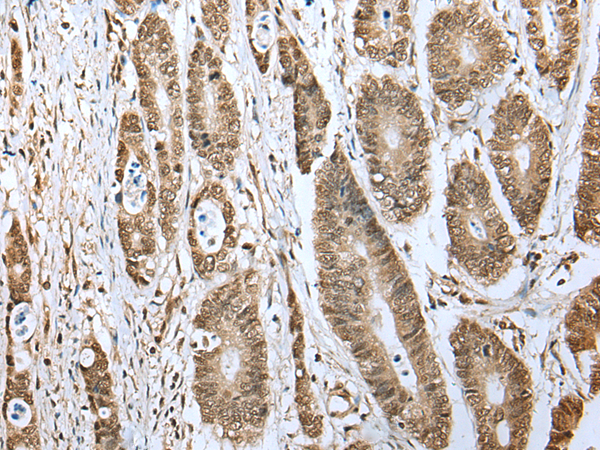
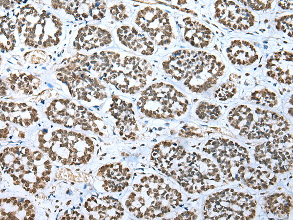
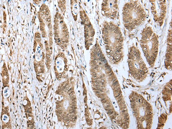
IHC positive control: |
Human esophagus cancer and human gastric cancer |
|
IHC Recommend dilution: |
25-100 |
|
WB Predicted band size: |
38 kDa |
|
WB Positive control: |
231 cell,Human testis tissue,Hela and Hepg2 cell |
|
WB Recommended dilution: |
500-2000 |


購物車
幫助
021-54845833/15800441009
