|
Background: |
TBRG4 (transforming growth factor beta regulator 4), also known as CPR2 (cell cycle progression restoration protein 2) or FASTKD4 (FAST kinase domain-containing protein 4), is a 631 amino acid protein that contains one RAP domain and belongs to the FAST kinase family. TBRG4 is ubiquitously expressed and may have a role in cell cycle progression. Existing as two alternatively spliced isoforms, the gene encoding TBRG4 maps to human chromosome 7p13. Chromosome 7 is approximately 158 million bases long, encodes over 1000 genes and makes up about 5% of the human genome. Chromosome 7 has been linked to Osteogenesis imperfecta, Pendred syndrome, Lissencephaly, Citrullinemia and Shwachman-Diamond syndrome. The deletion of a portion of the q arm of chromosome 7 is associated with Williams-Beuren syndrome, a condition characterized by mild mental retardation, an unusual comfort and friendliness with strangers and an elfin appearance. Deletions of portions of the q arm of chromosome 7 are also seen in a number of myeloid disorders including cases of acute myelogenous leukemia and myelodysplasia. |
|
Applications: |
WB, IHC |
|
Name of antibody: |
TBRG4 |
|
Immunogen: |
Fusion protein of human TBRG4 |
|
Full name: |
transforming growth factor beta regulator 4 |
|
Synonyms: |
TBRG4; CPR2; FASTKD4; KIAA0948 |
|
SwissProt: |
Q969Z0 |
|
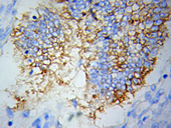
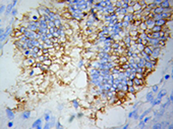
IHC positive control: |
Human lymphoma |
|
IHC Recommend dilution: |
50-200 |
|
WB Predicted band size: |
71 kDa |
|
WB Positive control: |
HeLa and HepG2 cells |
|
WB Recommended dilution: |
500-2000 |

購物車
幫助
021-54845833/15800441009
