宿 主: Rabbit
技術規格
Background:
This gene encodes a protein which is phosphorylated by insulin receptor tyrosine kinase. Mutations in this gene are associated with type II diabetes and susceptibility to insulin resistance.
Applications:
WB, IHC, IF
Name of antibody:
IRS1(Ab-312)
Immunogen:
Synthesized non-phosphopeptide derived from human IRS-1 around the phosphorylation site of serine 312 (A-T-S(p)-P-A).
Full name:
insulin receptor substrate 1
Synonyms:
HIRS-1
SwissProt:
P35568
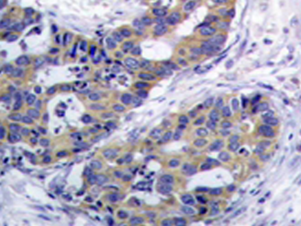
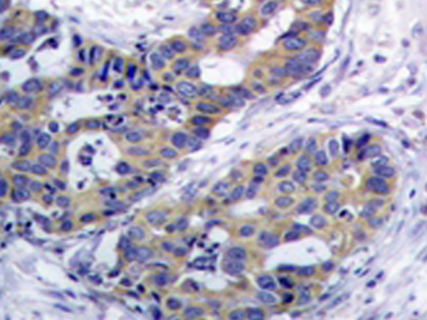
IHC positive control:
Human breast carcinoma tissue
IHC Recommend dilution:
50-100
WB Predicted band size:
132 kDa
WB Positive control:
NIH/3T3 cells lysate
WB Recommended dilution:
500-3000
IF positive control:
Hela cells
IF Recommend dilution:
100-500



購物車
幫助
021-54845833/15800441009
