儲 存: 冷凍(-20℃)
抗 原: ILF3
反應種屬: Human, Mouse, Rat
標 記 物: Unconjugate
克隆類型: rabbit polyclonal
Background:
This gene encodes a double-stranded RNA (dsRNA) binding protein that complexes with other proteins, dsRNAs, small noncoding RNAs, and mRNAs to regulate gene expression and stabilize mRNAs. This protein (NF90, ILF3) forms a heterodimer with a 45 kDa transcription factor (NF45, ILF2) required for T-cell expression of interleukin 2. This complex has been shown to affect the redistribution of nuclear mRNA to the cytoplasm. Knockdown of NF45 or NF90 protein retards cell growth, possibly by inhibition of mRNA stabilization. In contrast, an isoform (NF110) of this gene that is predominantly restricted to the nucleus has only minor effects on cell growth when its levels are reduced. Alternative splicing results in multiple transcript variants encoding distinct isoforms.
Applications:
ELISA, IHC
Name of antibody:
ILF3
Immunogen:
Fusion protein of human ILF3
Full name:
interleukin enhancer binding factor 3
Synonyms:
CBTF; DRBF; MMP4; MPP4; NF90; NFAR; NF110; NF90a; NF90b; NFAR2; TCP80; DRBP76; NF110b; NFAR-1; TCP110; MPHOSPH4; NF-AT-90
SwissProt:
Q12906
ELISA Recommended dilution:
5000-10000
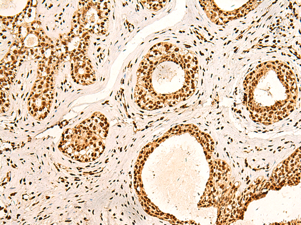
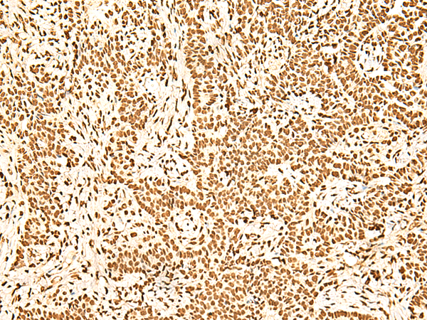
IHC positive control:
Human ovarian cancer and Human breast cancer
IHC Recommend dilution:
50-300
技術規格


購物車
幫助
021-54845833/15800441009
