|
Background: |
This gene encodes a nuclear transcription factor that belongs to the NK-linked or NK-like (NKL) subfamily of homeobox genes. The encoded protein is required for normal development of the spleen during embryogenesis. This protein is also involved in specification of neuronal cell fates. Ectopic expression of this gene due to chromosomal translocations is associated with certain T-cell acute lymphoblastic leukemias. Alternate splicing results in multiple transcript variants. |
|
Applications: |
ELISA, IHC |
|
Name of antibody: |
TLX1 |
|
Immunogen: |
Synthetic peptide of human TLX1 |
|
Full name: |
T-cell leukemia homeobox 1 |
|
Synonyms: |
TCL3; HOX11 |
|
SwissProt: |
P31314 |
|
ELISA Recommended dilution: |
5000-10000 |
|
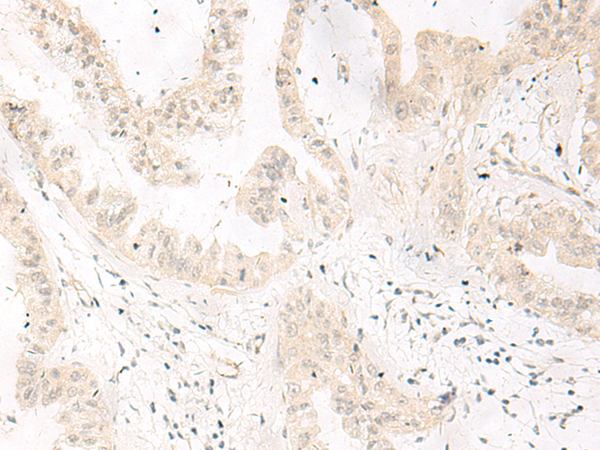
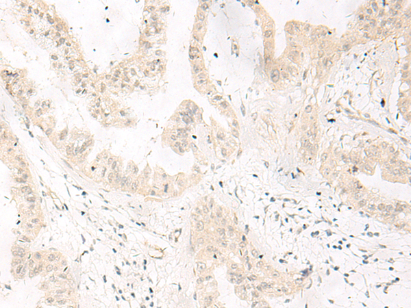
IHC positive control: |
Human liver cancer |
|
IHC Recommend dilution: |
10-50 |
購物車
幫助
021-54845833/15800441009
