|
Background: |
This gene encodes a member of the serine protease family. Serine proteases are known to be involved in a variety of biological processes, whose malfunction often leads to human diseases and disorders. This gene was identified as a gene overexpressed in pancreatic carcinoma. The encoded protein is membrane bound with a N-terminal anchor sequence and a glycosylated extracellular region containing the serine protease domain. Multiple transcript variants encoding different isoforms have been found for this gene. |
|
Applications: |
ELISA, WB, IHC |
|
Name of antibody: |
TMPRSS4 |
|
Immunogen: |
Fusion protein of human TMPRSS4 |
|
Full name: |
transmembrane protease, serine 4 |
|
Synonyms: |
CAPH2; MT-SP2; TMPRSS3 |
|
SwissProt: |
Q9NRS4 |
|
ELISA Recommended dilution: |
1000-2000 |
|
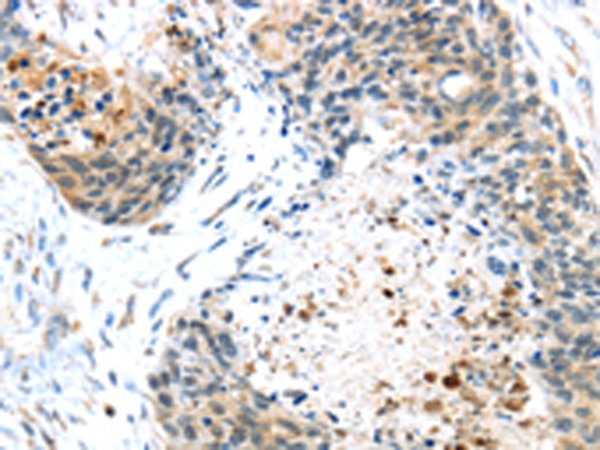
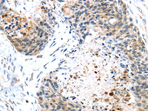
IHC positive control: |
Human esophagus cancer |
|
IHC Recommend dilution: |
30-150 |
|
WB Predicted band size: |
48 kDa |
|
WB Positive control: |
A431 cells |
|
WB Recommended dilution: |
200-1000 |

購物車
幫助
021-54845833/15800441009
