英文名稱: Anti-CCL15 rabbit polyclonal antibody
別 名: LKN1, NCC3, SY15, HCC-2, LKN-1, MIP-5, NCC-3, SCYL3, MIP-1D, MRP-2B, SCYA15, HMRP-2B
相關類別: 一抗
抗 原: CCL15
儲 存: 冷凍(-20℃)
宿 主: Rabbit
反應種屬: Human
標 記 物: Unconjugate
克隆類型: rabbit polyclonal
技術規格
|
Background: |
This gene, chemokine (C-C motif) ligand 15, is one of several CC cytokine genes clustered on 17q11.2. The CC cytokines are secreted proteins characterized by two adjacent cysteines. The cytokine encoded by this gene is chemotactic for T cells and monocytes and induces N-acetyl-beta-D-glucosaminidase release in monocytes. It induces changes in intracellular calcium concentration in monocytes and is thought to act through the CCR1 receptor. Read-through transcripts are expressed that include exons from the downstream cytokine gene, chemokine (C-C motif) ligand 14, and are represented as GeneID: 348249. |
|
Applications: |
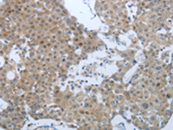
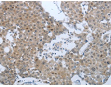
ELISA, IHC |
|
Name of antibody: |
CCL15 |
|
Immunogen: |
Synthetic peptide of human CCL15 |
|
Full name: |
Chemokine (C-C motif) ligand 15 |
|
Synonyms: |
LKN1, NCC3, SY15, HCC-2, LKN-1, MIP-5, NCC-3, SCYL3, MIP-1D, MRP-2B, SCYA15, HMRP-2B |
|
SwissProt: |
Q16663 |
|
ELISA Recommended dilution: |
1000-5000 |
|
IHC positive control: |
Human breast cancer |
|
IHC Recommend dilution: |
25-100 |

購物車
幫助
021-54845833/15800441009
