中文名稱:兔抗CD247(Phospho-Tyr142)多克隆抗體
英文名稱: Anti-CD247(Phospho-Tyr142) rabbit polyclonal antibody
別 名: T3Z; CD3H; CD3Q; CD3Z; TCRZ; IMD25; CD3-ZETA
儲 存: 冷凍(-20℃) 避光
抗 原: CD247(Phospho-Tyr142)
宿 主: Rabbit
相關類別: 一抗
反應種屬: Human Mouse
標 記 物: Unconjugate
克隆類型: Unconjugate
技術規格
|
Background: |
The protein encoded by this gene is T-cell receptor zeta, which together with T-cell receptor alpha/beta and gamma/delta heterodimers, and with CD3-gamma, -delta and -epsilon, forms the T-cell receptor-CD3 complex. The zeta chain plays an important role in coupling antigen recognition to several intracellular signal-transduction pathways. Low expression of the antigen results in impaired immune response. Two alternatively spliced transcript variants encoding distinct isoforms have been found for this gene. |
|
Applications: |
WB |
|
Name of antibody: |
CD247(Phospho-Tyr142) |
|
Immunogen: |
Peptide sequence around phosphorylation site of tyrosine 142 (G-L-Y(p)-Q-G) derived from Human CD3 ζ. |
|
Full name: |
CD247 molecule |
|
Synonyms: |
T3Z; CD3H; CD3Q; CD3Z; TCRZ; IMD25; CD3-ZETA |
|
SwissProt: |
P20963 |
|
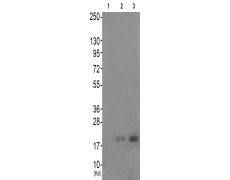
WB Predicted band size: |
19 kDa |
|
WB Positive control: |
Jurkat cells and K562 cells lysates |
|
WB Recommended dilution: |
500-1000 |

購物車
幫助
021-54845833/15800441009
