中文名稱:兔抗C3orf38多克隆抗體
英文名稱: Anti-C3orf38 rabbit polyclonal antibody
別 名: chromosome 3 open reading frame 38
相關類別: 一抗
儲 存: 冷凍(-20℃)
宿 主: Rabbit
抗 原: C3orf38
反應種屬: Human, Mouse, Rat
標 記 物: Unconjugate
克隆類型: rabbit polyclonal
技術規格
|
Background: |
May be involved in apoptosis regulation. |
|
Applications: |
ELISA, IHC |
|
Name of antibody: |
C3orf38 |
|
Immunogen: |
Fusion protein of human C3orf38 |
|
Full name: |
chromosome 3 open reading frame 38 |
|
SwissProt: |
Q5JPI3 |
|
ELISA Recommended dilution: |
5000-10000 |
|
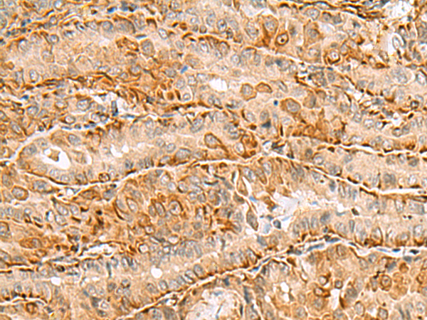
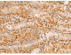
IHC positive control: |
Human thyroid cancer and Human cervical cancer |
|
IHC Recommend dilution: |
100-300 |


購物車
幫助
021-54845833/15800441009
